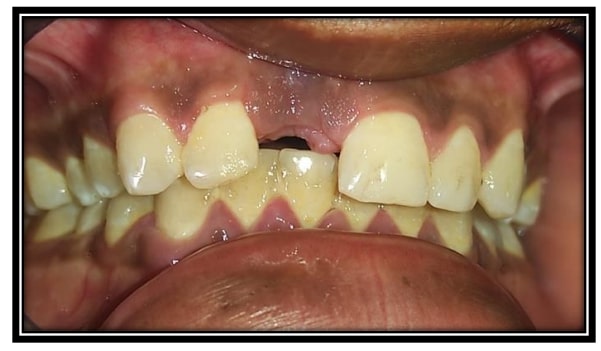
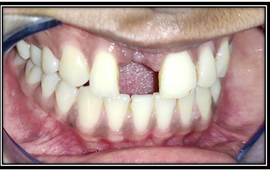
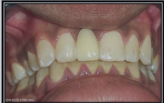
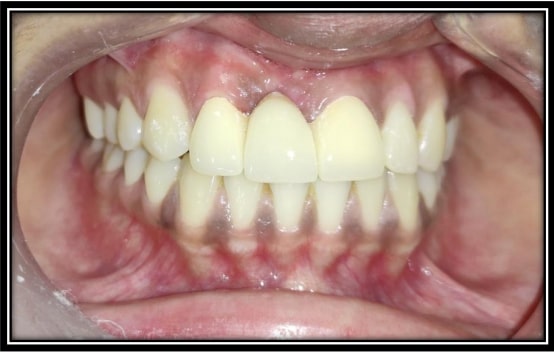
Fixed Partial Denture

A fixed partial denture (FPD), also known as a dental bridge, is a dental prosthesis used to replace one or more missing teeth. The FPD is anchored to the remaining natural teeth on either side of the gap, using dental crowns or other attachments.

There are several materials that can be used to create an FPD, including porcelain, ceramic, metal, or a combination of materials. Each material has its own advantages and disadvantages, and the choice will depend on factors such as the patient's preferences, the location of the missing teeth, and the condition of the remaining natural teeth.

Some of Our sucessfull FPD cases.